Download:
Abstract:
Spiral fMRI has been put forward as a viable alternative to rectilinear echo-planar imaging, in particular due to its enhanced average $k$-space speed and thus high acquisition efficiency. This renders spirals attractive for contemporary fMRI applications that require high spatiotemporal resolution, such as laminar or columnar fMRI. However, in practice, spiral fMRI is typically hampered by its reduced robustness and ensuing blurring artifacts, which arise from imperfections in both static and dynamic magnetic fields.
Recently, these limitations have been overcome by the concerted application of an expanded signal model that accounts for such field imperfections, and its inversion by iterative image reconstruction. In the challenging ultra-high field environment of 7 Tesla, where field inhomogeneity effects are aggravated, both multi-shot and single-shot 2D spiral imaging at sub-millimeter resolution was demonstrated with high depiction quality and anatomical congruency.
In this work, we further these advances towards a time series application of spiral readouts, namely, single-shot spiral BOLD fMRI at 0.8 mm in-plane resolution. We demonstrate that high-resolution spiral fMRI at 7 T is not only feasible, but delivers both excellent image quality, BOLD sensitivity, and spatial specificity of the activation maps, with little artifactual blurring. Furthermore, we show the versatility of the approach with a combined in/out spiral readout at a more typical resolution (1.5 mm), where the high acquisition efficiency allows to acquire two images per shot for improved sensitivity by echo combination.
Figure 1: Utilized 2D single-shot spiral acquisitions

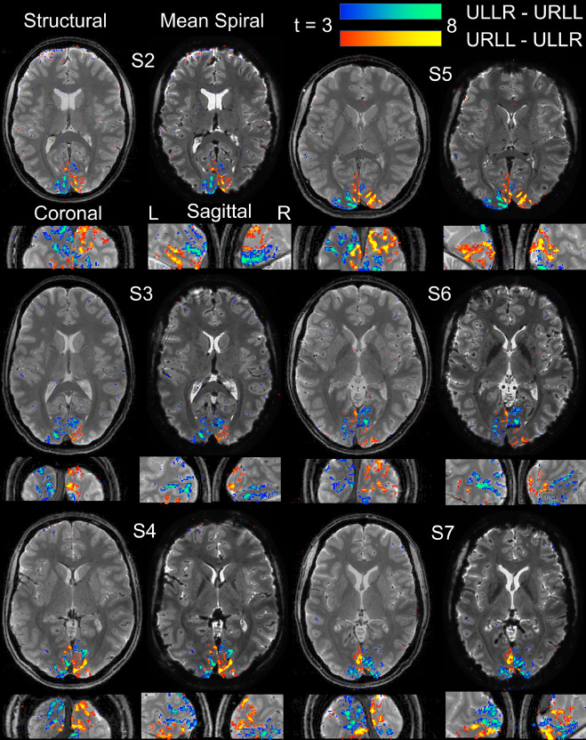
Figure 7: Mean spiral images and activation maps over subjects (S2-S7) for high-resolution spiral-out fMRI.

Citation
Lars Kasper, Maria Engel, Jakob Heinzle, Matthias Mueller-Schrader, Nadine N. Graedel, Jonas Reber, Thomas Schmid, Christoph Barmet, Bertram J. Wilm, Klaas Enno Stephan, Klaas P. Pruessmann, Advances in spiral fMRI: A high-resolution study with single-shot acquisition, NeuroImage, Volume 246, 2022, 118738, ISSN 1053-8119, https://doi.org/10.1016/j.neuroimage.2021.118738.
@article{kasperAdvancesSpiralFMRI2022a,
title = {Advances in Spiral {{fMRI}}: {{A}} High-Resolution Study with Single-Shot Acquisition},
shorttitle = {Advances in Spiral {{fMRI}}},
author = {Kasper, Lars and Engel, Maria and Heinzle, Jakob and {Mueller-Schrader}, Matthias and Graedel, Nadine N. and Reber, Jonas and Schmid, Thomas and Barmet, Christoph and Wilm, Bertram J. and Stephan, Klaas Enno and Pruessmann, Klaas P.},
year = {2022},
month = feb,
journal = {NeuroImage},
volume = {246},
pages = {118738},
issn = {1095-9572},
doi = {10.1016/j.neuroimage.2021.118738},
langid = {english},
pmid = {34800666},
}